ASCRS Focus on Cataract Surgery
Practical Guides for the Cataract Surgeon
ASCRS Focus on Cataract is a monthly online feature that includes a variety of curated educational resources on topics within cataract surgery, providing one location where ASCRS members can find a wealth of education on specific cataract surgical techniques and complications.

Scleral Fixation of Intraocular Lenses
In this new 2022 ASCRS Focus on Cataract Surgery, explore a selection of surgical videos and publications covering the various scleral fixation techniques and complications.

Light Adjustable Lens
In this updated 2022 ASCRS Focus on Cataract Surgery, explore a variety of resources on the light adjustable lens, which can be adjusted in the eye postoperatively in order to optimize refractive outcomes for difficult cases.

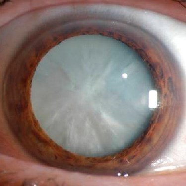
Surgical Management of Hard Cataracts
In this updated 2022 ASCRS Focus on Cataract Surgery, explore a variety of resources on the management of hard cataracts in order to minimize your chance of surgical complications.
Explore Now
IOL Exchange
In this updated 2022 ASCRS Focus on Cataract Surgery, explore a variety of resources focused on when to perform an IOL exchange as well as the surgical techniques associated with IOL exchange.
Explore Now
Capsular Support: Rings, Hooks, and More
In this updated 2022 ASCRS Focus on Cataract Surgery, explore educational resources about the variety of capsular support devices available to today's cataract surgeon.
Explore Now
Manual Small Incision Cataract Surgery (MSICS)
In this updated 2022 ASCRS Focus on Cataract Surgery, explore a variety of resources focused on the importance of MSICS and keys to mastering this technique.
Explore Now
Phacoemulsification: Tips & Techniques
In this updated 2022 ASCRS Focus on Cataract Surgery, explore the variety of phaco resources to learn about new surgical techniques, fluidics, machine settings and more.
Explore Now
Posterior Capsule Rupture
In this updated 2022 ASCRS Focus on Cataract Surgery, explore the surgical videos and additional resources on posterior capsule rupture to assist in your surgical preparation.
Explore Now