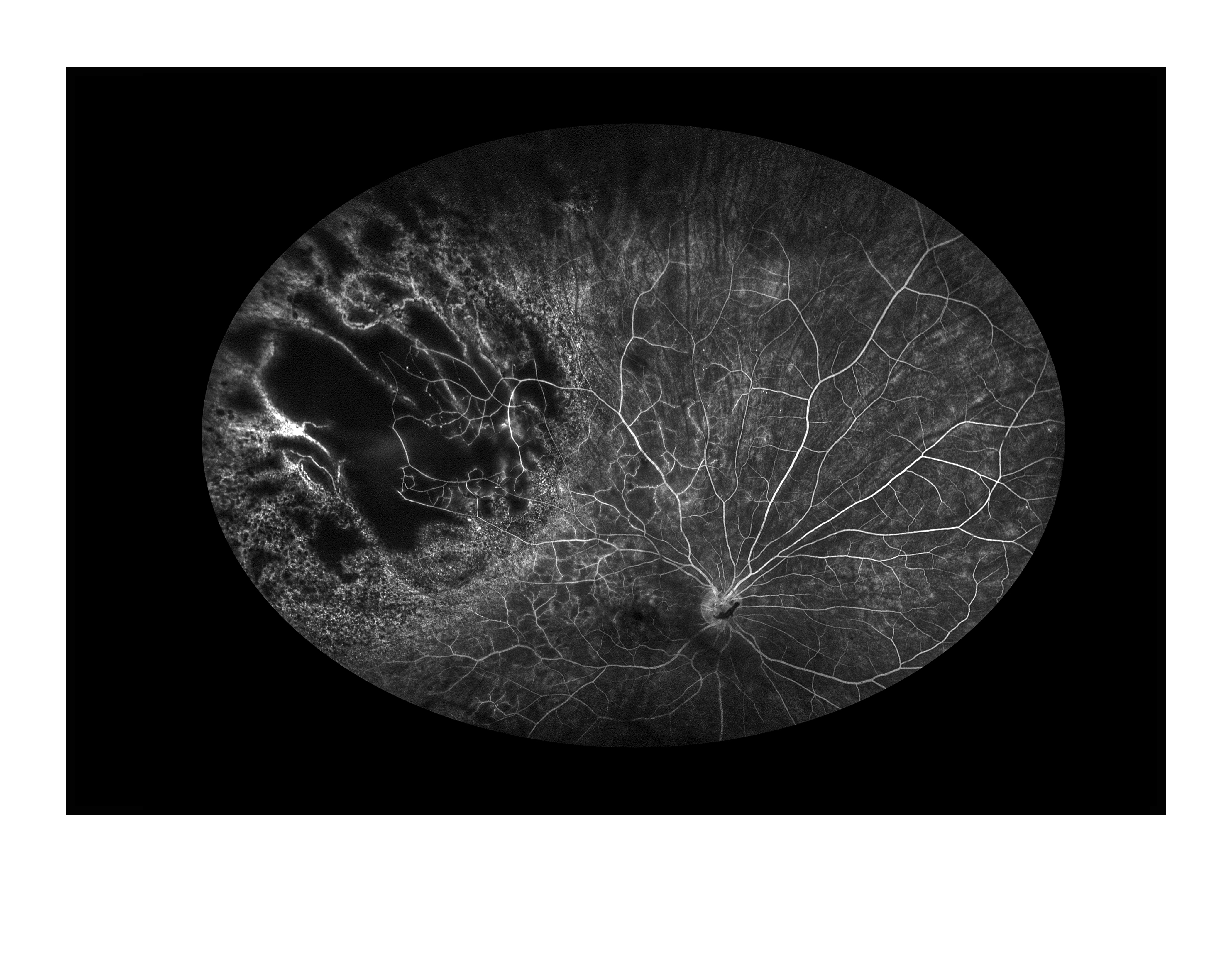
Choroidal Melanoma Presented by Clint Downer, OCT-C This photograph received Honorable Mention in the category "Fluorescein Angiography" and was displayed in the 2024 OPS Exhibit. Filed Under Retina OPS Photo