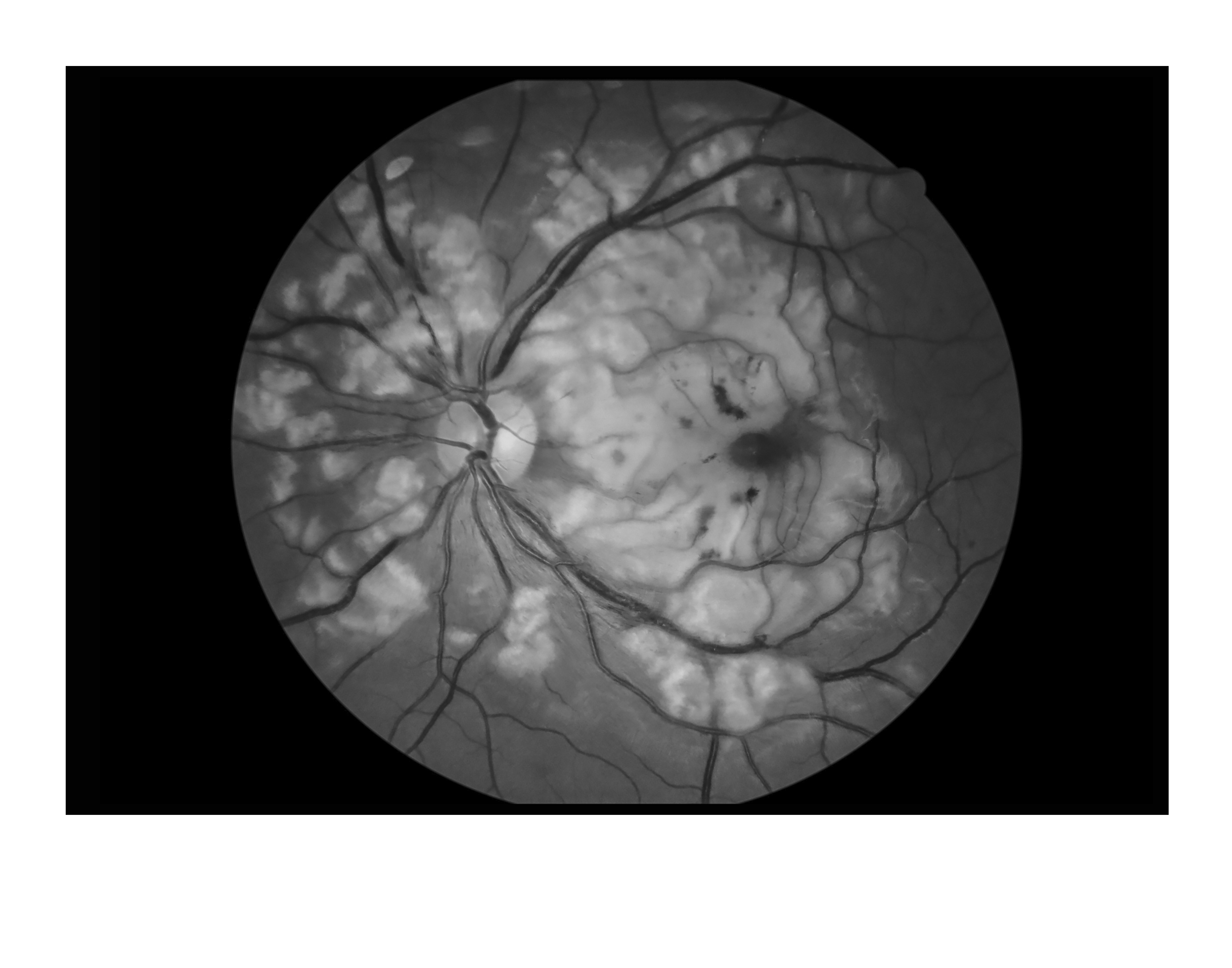
Choroidal Abnormalities in Neuro-Fibromatosis Type Presented by Barbara Klemenc This photograph received Third Place in the category "Monochromatic Photography" and was displayed in the 2024 OPS Exhibit. Filed Under Retina OPS Photo